Unidade S.B.Campo - Rudge Ramos: (11) 4177-4200
(11) 9 3100-4200

Ortho X - Fotos e Slides

       
Foto de frente
Foto de Perfil
Foto de Sorriso


Interbucais


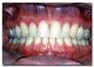
Overjet
Oclusal



Veja também outros exames que realizamos:



Contato   Unidades

Entre em contato conosco
Ortho-X São Bernardo do Campo - Rudge Ramos - CROSP:9207
(11) 4177-4200 (11) 9 3100-4200
Dra. Meire Anne Biagioni - C.D. - Resp. Técnico - CROSP 79248
De 2ª à 6ª - das 8h às 17:30h.
   
Desenvolvimento: SOFTCOM

Cialis NZ cialis generic nz Viagra Pills Nz , Viagra Online Nz viagra nz KAMAGRA QUE ES,KAMAGRA GEL QUE ES,KAMAGRA 100 MG QUE ES,KAMAGRA ORAL JELLY QUE ES,KAMAGRA 100MG kamagra 100mg Cialis Prijs Belgie,Cialis Prijs Apotheek,Cialis Prijs Apotheek Belgie cialis belgie CIALIS PAS CHER,CIALIS GENERIQUE,CIALIS 20MG cialis 20mg Super Kamagra Belgique,Super Kamagra Avis,Super Kamagra Effet Secondaire kamagra belgique