Unidade S.B.Campo - Rudge Ramos:
(11)
4177-4200
(11)
9 3100-4200
Página Inicial
Institucional
Quem Somos
História da empresa
Equipamentos
Exames
Documentações Odontológicas
Tipos de Exames
Radiografia Periapical
Radiografia Interproximais
Radiografia Oclusal
Radiografia Panorâmica
Radiografia de Mão e Punho
Tomografia de ATM
Técnica de Localização
Telerradiografia Frontal e Lateral
Tomografia Computadorizada 3D
Fotos e Slides
Modelos de Estudo 3D
Requisições
Formulário para solicitação de Exames
Formulário para cadastro de Profissionais
Localização e Horários
Contato
Fale Conosco
Dê sua opinião
Ortho X - Tomografia Computadorizada 3D
Tomografia Computadorizada 3D
O que é tomografia computadorizada?
Volumétrica do feixe cônico(Cone Beam)
Como avaliar tomografias do Cone Beam?
Como requisitar tomografia do Cone Beam?
Indicações da tomografia Cone Beam
Vantagens
Diferenças da Tomografia x Radiografia ?
Radiação X da Tomografia Cone Beam
Como é realizado o exame?
Como o exame é apresentado ao dentista?
Como solicitar uma Tomografia Cone Beam?
Quanto custa uma Tomografia Cone Beam?
Exemplos de Exames
Dente Incluso
Supranumérico
ATM
Localização de Canal
Medida para Implante
Software Tomografia 3D
Deltal Slice
I-CAT Vision
Exames >
Tomografia Computadorizada 3D >
I-CAT Vision
I-CAT Vision
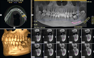
I-CAT Vision é um software que gera imagens, onde integram módulos de visualização para ATM, implante e todos os cortes axiais, coronais e sagitais.
Veja também outros exames que realizamos:
Radiografia Periapical
Radiografia Interproximais
Radiografia Oclusal
Radiografia Panorâmica
Radiografia de Mão e Punho
Tomografia de ATM
Técnica de Localização
Telerradiografia Frontal e Lateral
Tomografia Computadorizada 3D
Fotos e Slides
Modelos de Trabalho e Estudo 3D
Contato
Unidades
Entre em contato conosco
Ortho-X São Bernardo do Campo - Rudge Ramos - CROSP:9207
(11)
4177-4200
(11)
9 3100-4200
Dra. Meire Anne Biagioni - C.D. - Resp. Técnico - CROSP 79248
De 2ª à 6ª - das 8h às 17:30h.
Desenvolvimento:
SOFTCOM