Unidade S.B.Campo - Rudge Ramos: (11) 4177-4200
(11) 9 3100-4200

Ortho X - Tomografia Computadorizada 3D

Exames > Tomografia Computadorizada 3D > Indicações da Tomografia Cone Beam em Odontologia

Indicações da Tomografia Cone Beam em Odontologia

É um erro pensar que a Tomografia do Cone Beam se limita somente a especialidade da implantodontia, sua interação na verdade ocorre com todas as especialidades da Odontologia, podendo ser empregada em várias situações, como por exemplo:

  • Planejamento de implantes dentários


  • Cefalometria 3D


  • Localizar elementos dentais inclusos
    Tomografia computadorizada Reconstruções 3D


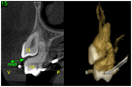
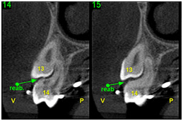
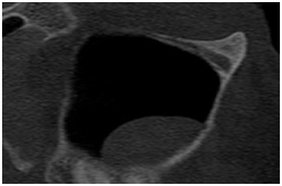
  • Avaliar o grau de reabsorção radicular de dentes adjacentes a caninos retidos
    Reabsorção radicular adjacente a dentes retidos Reabsorção radicular adjacente a dentes retidos
    Reabsorção radicular adjacente a dentes retidos Reabsorção radicular adjacente a dentes retidos


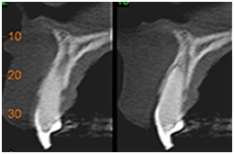
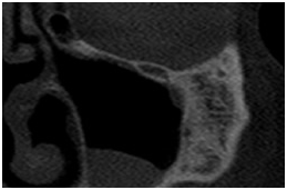
  • Avaliar a relação de dentes inclusos com acidentes anatômicos
    Relação dentes inclusos X acidentes anatômicos Relação dentes inclusos X acidentes anatômicos


  • Localizar pequenas trincas e fraturas dento-alveolares
    Avaliar fraturas radiculares Avaliar fraturas radiculares


  • Visualizar tamanho, forma e número de canais radiculares
    Endodontia (obliteração radicular no 11)


  • Determinar quantidade, qualidade e inclinação do rebordo ósseo alveolar
    Implantodontia Implantodontia


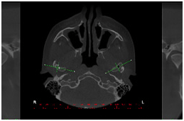
  • Observar anomalias da ATM
    Avaliação da ATM Avaliação da ATM


  • Auxiliar no diagnóstico e delimitação das lesões patológicas
    Avaliação de patologias Avaliação de patologias


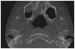
  • Avaliar os seis maxilares
    Avaliação de patologias (frontal) Avaliação de patologias (lateral)
    Avaliação de patologias (horizontal)


  • Observar pacientes portadores de fenda palatina
    Vista axial Reconstruções 3D


  • Determinar quantidade de osso para tracionamento ortodôntico
  • Avaliar relação entre diâmetro das raízes e as tábuas ósseas vestibulares e linguais
  • Avaliar, delimitar e classificar as fraturas ósseas crânio-faciais
  • Verificar a inclinação de dentes comprometidos periodontalmente e sua relação com as tábuas ósseas
  • Análise qualitativa e quantitativa do osso alveolar para colocação de miniimplantes de ancoragem ortodôntica
  • Avaliar movimentação dentária para região de osso atrésico (rebordo ósseo pouco espesso na direção vestíbulo-lingual) ou com invaginação do seio maxilar
  • Realizar planejamento cirúrgico virtual



Veja também outros exames que realizamos:



Contato   Unidades

Entre em contato conosco
Ortho-X São Bernardo do Campo - Rudge Ramos - CROSP:9207
(11) 4177-4200 (11) 9 3100-4200
Dra. Meire Anne Biagioni - C.D. - Resp. Técnico - CROSP 79248
De 2ª à 6ª - das 8h às 17:30h.
   
Desenvolvimento: SOFTCOM

Cialis NZ cialis generic nz Viagra Pills Nz , Viagra Online Nz viagra nz KAMAGRA QUE ES,KAMAGRA GEL QUE ES,KAMAGRA 100 MG QUE ES,KAMAGRA ORAL JELLY QUE ES,KAMAGRA 100MG kamagra 100mg Cialis Prijs Belgie,Cialis Prijs Apotheek,Cialis Prijs Apotheek Belgie cialis belgie CIALIS PAS CHER,CIALIS GENERIQUE,CIALIS 20MG cialis 20mg Super Kamagra Belgique,Super Kamagra Avis,Super Kamagra Effet Secondaire kamagra belgique